葉 間 胸水 と は



被包化胸水 葉間胸水 Vanishing Tumor やさしイイ呼吸器教室

被包化胸水 葉間胸水 Vanishing Tumor やさしイイ呼吸器教室

症例4 診断と解説

症例4 診断と解説

保存版 胸水とは 症状 鑑別は 心不全以外も徹底解説

保存版 胸水とは 症状 鑑別は 心不全以外も徹底解説

肺水腫のct画像診断 原因 心原性 左心不全 は

肺水腫のct画像診断 原因 心原性 左心不全 は

被包化胸水 葉間胸水 Vanishing Tumor やさしイイ呼吸器教室

被包化胸水 葉間胸水 Vanishing Tumor やさしイイ呼吸器教室

葉間胸水 なんでも内科診療日誌

葉間胸水 なんでも内科診療日誌

葉間胸水 なんでも内科診療日誌

X線診断の基礎知識 レントゲン写真の読み方 簡単解説

X線診断の基礎知識 レントゲン写真の読み方 簡単解説

被包化胸水 葉間胸水 Vanishing Tumor やさしイイ呼吸器教室

被包化胸水 葉間胸水 Vanishing Tumor やさしイイ呼吸器教室

胸水の解説 看護roo カンゴルー

胸水の解説 看護roo カンゴルー

胸水の解説 看護roo カンゴルー

胸水の解説 看護roo カンゴルー

症例23 葉間胸水 左大葉間裂内 Mediflex Incorporated

症例23 葉間胸水 左大葉間裂内 Mediflex Incorporated

X線診断の基礎知識 レントゲン写真の読み方 簡単解説

X線診断の基礎知識 レントゲン写真の読み方 簡単解説

葉間胸水 なんでも内科診療日誌

葉間胸水 なんでも内科診療日誌

X線診断の基礎知識 レントゲン写真の読み方 簡単解説

X線診断の基礎知識 レントゲン写真の読み方 簡単解説

葉間胸水 なんでも内科診療日誌

葉間胸水 なんでも内科診療日誌

正常像 正常変異 Mediflex Incorporated

正常像 正常変異 Mediflex Incorporated

解答 解説 肺炎加療後も解熱せず来院した70歳代男性 実践 画像診断q A 羊土社 レジデントノート 実践 画像診断q A 羊土社 レジデントノート 羊土社

解答 解説 肺炎加療後も解熱せず来院した70歳代男性 実践 画像診断q A 羊土社 レジデントノート 実践 画像診断q A 羊土社 レジデントノート 羊土社

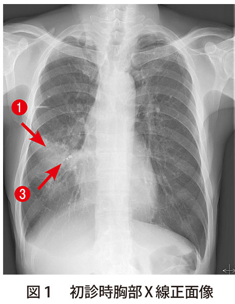
解答 解説 黄色痰 血痰を伴う咳嗽で受診した50歳代男性 実践 画像診断q A 羊土社 レジデントノート 羊土社

解答 解説 黄色痰 血痰を伴う咳嗽で受診した50歳代男性 実践 画像診断q A 羊土社 レジデントノート 羊土社

胸部a117b

胸部a117b

解答 解説 黄色痰 血痰を伴う咳嗽で受診した50歳代男性 実践 画像診断q A 羊土社 レジデントノート 羊土社

解答 解説 黄色痰 血痰を伴う咳嗽で受診した50歳代男性 実践 画像診断q A 羊土社 レジデントノート 羊土社

肺水腫や心不全の胸部レントゲンやct画像診断のポイントは

肺水腫や心不全の胸部レントゲンやct画像診断のポイントは

胸部x線写真で ここまでわかる やさしイイ呼吸器教室

胸部x線写真で ここまでわかる やさしイイ呼吸器教室

解答 解説 咳嗽 胸痛を主訴に来院した20歳代男性 実践 画像診断q A 羊土社 レジデントノート 羊土社

解答 解説 咳嗽 胸痛を主訴に来院した20歳代男性 実践 画像診断q A 羊土社 レジデントノート 羊土社

日々の症例 196 胸膜外脂肪層の肥厚

日々の症例 196 胸膜外脂肪層の肥厚

Source : pinterest.com